Before & After Photos

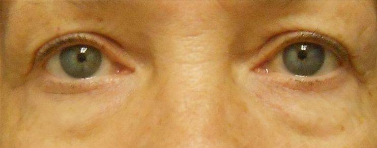
Blepharoplasty | Eyelid Surgery Case 1

Gender
Female
Age
70 years old

Description

A 70-year-old woman with excess upper lid skin, lower lid fat, and skin who underwent bilateral upper and lower blepharoplasty with fat reset in the lower lids. These pictures are from 10 months after the operation. Contact us to schedule your consultation with Dr. Paydar.

Procedure: Blepharoplasty
Time Frame: 10-month post-op results
Case Notes: Bilateral upper and lower blepharoplasty with fat reset in lower lids